
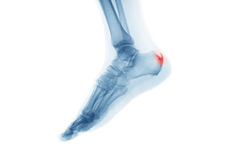
Signs that you may have a heel spur include pain felt in the heel region, swelling at the front of the heel, and inflammation. If the affected area also feels warm to the touch, you may be experiencing the symptoms of a heel spur. Heel spurs are extremely uncomfortable and can often lead to a great deal of pain if left untreated. They may develop due to excess body weight, complications with arthritis, wearing poorly fitted shoes, and bruising of the heel.
A heel spur takes the form of a bony-like growth. This is due to a calcium deposit that extends between the heel bone and foot arch. They can grow up to half an inch in length; however, they may not be outwardly visible. Because heel spurs tend to grow, increasing the overall discomfort felt, it’s important that you seek professional help as soon as pain is experienced for early detection.
For a proper diagnosis and recommendations for treatment, we suggest you consult with a podiatrist about any heel pain concerns.